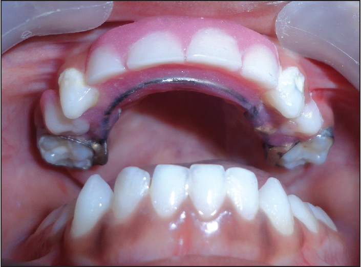
hareketli yer tutucu