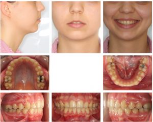
bitim