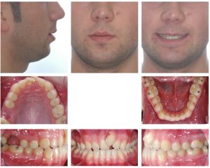
baş